Dier van de maand – Uta
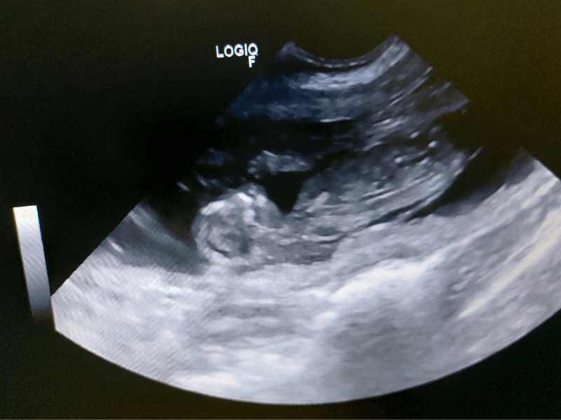
Uta, een 4,5 jarige Border Terriër, komt op de praktijk voor een echo. Haar eigenaar is een groot liefhebber en ervaren fokster van dit leuke ras. Om zeker te weten of Uta inderdaad drachtig is, uitwendig is dit nog niet duidelijk zichtbaar, wordt een echo gemaakt.
Middels echografisch onderzoek is het vanaf een dag of 28 na de dekking mogelijk om dracht vast te stellen. Hiervoor wordt het buikje geschoren en Uta in alle rust op een comfortabel kussen gelegd.
Gelukkig was er goed nieuws: bij Uta waren duidelijk meerdere foetussen te zien! Doordat je met echo onderzoek geen totaaloverzicht in beeld krijgt, is het lastig om het aantal pups met zekerheid vast te stellen.




